Medio Ambiente y lesión celular

Medio Ambiente y lesión celular

Área PECITI: 15 Farmacéutica y Ciencias de la Salud

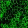
En los mamíferos superiores, entre ellos el humano, hay un conjunto de estructuras denominadas epitelios, que se encuentran en contacto con el medio ambiente. Estos se encuentran formando parte de la piel, la córnea del ojo, el intestino y el riñón entre otros. Los epitelios son el primer sitio de contacto de los agentes ambientales con el organismo. Cuando estos agentes son nocivos, pueden desarrollarse padecimientos como el cáncer de piel, las diarreas o las bronconeumonías. En el caso de los epitelios del hígado y del riñón, pueden ocurrir lesiones severas secundarias a la exposición a metales pesados, como son el plomo, el mercurio, el cromo o el cadmio, ya que estos metales se acumulan en dichos órganos. En el Departamento de Fisiología, Biofísica y Neurociencias se realizan diversos estudios de las alteraciones producidas por algunos agentes ambientales en varios epitelios.

Profesores que estudian esta línea de investigación:

  1. Dr. José Antonio Gilberto Arias Montaño
  2. Dra. Lorenza González-Mariscal Muriel
  3. Dra. María Eugenia Mendoza Garrido
  4. Dr. Fanis Missirlis
  5. Dr. Porfirio Nava Domínguez
Print
1129 Califica este artículo:
Sin calificación
Please login or register to post comments.
CONTÁCTENOS

Logo Cinvestav

Av. Instituto Politécnico Nacional 2508,
Col. San Pedro Zacatenco,
Alcaldía Gustavo A. Madero,
Ciudad de México, Código Postal 07360

Tel. +52 55 5747 3800

Cinvestav © 2025
02/10/2025 01:14:46 p. m.